Smile Gallery

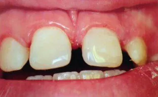
Paul Hanna Dental (formerly Todd S. Larsen, DMD) in Roosevelt UT

Porcelain Crowns - Before

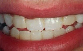
Paul Hanna Dental (formerly Todd S. Larsen, DMD) in Roosevelt UT

Porcelain Crowns - After

Paul Hanna Dental (formerly Todd S. Larsen, DMD) in Roosevelt UT

Porcelain Crowns - Before

Paul Hanna Dental (formerly Todd S. Larsen, DMD) in Roosevelt UT

Porcelain Crowns - After

Paul Hanna Dental (formerly Todd S. Larsen, DMD) in Roosevelt UT

Direct Bonding - Before

Paul Hanna Dental (formerly Todd S. Larsen, DMD) in Roosevelt UT

Direct Bonding - After

Paul Hanna Dental (formerly Todd S. Larsen, DMD) in Roosevelt UT

Implants and Crowns - Before

Paul Hanna Dental (formerly Todd S. Larsen, DMD) in Roosevelt UT

Implants and Crowns - After

Paul Hanna Dental (formerly Todd S. Larsen, DMD) in Roosevelt UT

Chipped Teeth - Before

Paul Hanna Dental (formerly Todd S. Larsen, DMD) in Roosevelt UT

Resin Filling - After

Paul Hanna Dental (formerly Todd S. Larsen, DMD) in Roosevelt UT

Chairside Veneers- Before

Paul Hanna Dental (formerly Todd S. Larsen, DMD) in Roosevelt UT

Chairside Veneers - After

Contact Us

Send Us an Email

Our Location

Find us on the map

Hours of Operation

Our Regular Schedule

Monday:

8:00 AM-1:00 PM

2:00 PM-5:00 PM

Tuesday:

8:00 AM-1:00 PM

2:00 PM-5:00 PM

Wednesday:

8:30 AM-1:00 PM

2:00 PM-5:00 PM

Thursday:

8:00 AM-3:00 PM

Friday:

Call for our schedule

Saturday:

Closed

Sunday:

Closed